Home>> Services>> GUM DISEASES
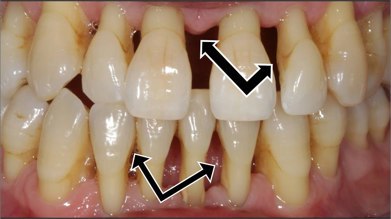
Periodontal disease, also known as gum disease, is a set of inflammatory conditions affecting the tissues surrounding the teeth. In its early stage, called gingivitis, the gums become swollen, red and may bleed. In its more serious form, called periodontists, the gums can pull away from the tooth, bone can be lost and the teeth may loosen or fall out.
201902161550330513451.jpg)